胆嚢粘液嚢腫・胆嚢破裂
- HOME
- 胆嚢粘液嚢腫・胆嚢破裂
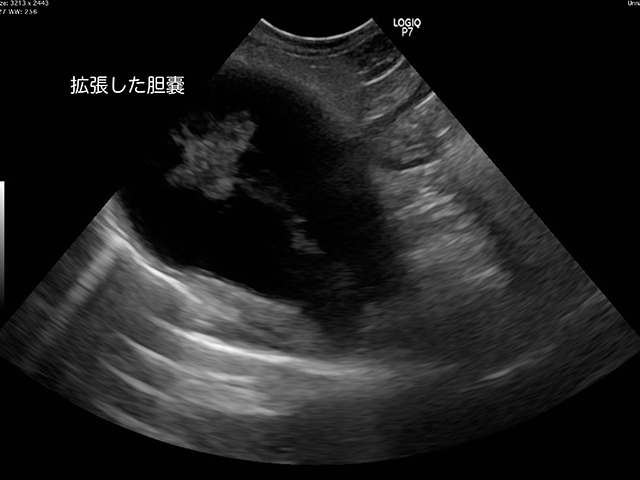
何度も吐いてしまい、ぐったりしてきたとのことで来院されたチワワさんです。
検査の結果、胆嚢が破裂していることがわかりました。
症状
元気がない、食欲がない、嘔吐、お腹を痛がる、黄疸がみられる、ぐったりしてきた、など
治療
全身麻酔に向けて状態の改善を図ったのち、胆嚢摘出術を実施しました。
胆嚢は破れてお腹の中にゼリー状の胆汁がみられ、強い腹膜炎も起こしていました。
破れた胆嚢を摘出、腹腔内を洗浄し、術後も治療を継続して入院としました。
術後の合併症報告も多く、手術が終われば安心というわけではありませんが、この子の場合は重篤な合併症も無く、数日後には元気に退院できました。
この子の場合は最初に診察した時点で胆嚢が破裂してしまっていました。
破裂した場合、手術を行っても死亡率が40%に昇るとの報告もあります。
そのため、破裂する前に胆嚢の病気を発見し、適切に治療を行っていくことが理想的です。
ただし、こうした胆嚢の病気ははっきりした症状がみられないことも多く、自宅でしっかり様子を見て頂いていても気付かない事も少なくありません。
気になる症状がある場合には勿論、お年をとってきた子達の健康診断もお勧めしています。
お問い合わせ
当院は飼い主様とペットに親しまれ信頼されるホームドクターを目指しております。
些細なことでもお気軽にご相談ください。
TEL0573-62-1228
〒508-0004 岐阜県中津川市花戸町1-17
[診療科目]
一般内科、軟部外科、胆嚢粘液嚢腫・胆嚢破裂、循環器科、呼吸器科、整形外科、消化器科、皮膚科、脳神経科、内分泌科、泌尿生殖器科、血液免疫疾患科、筋骨格系疾患、眼科、耳鼻科、歯科、救急診療科、その他
[診療時間]
9:00~12:00 / 16:00~18:00
[休診日]
月曜日、日曜日午後、祝日午後、第2・第4木曜日午後




