膀胱や尿道の腫瘍(移行上皮癌)
- HOME
- 膀胱や尿道の腫瘍(移行上皮癌)
わんちゃんにもネコちゃんにも発生することがありますが、ここではわんちゃんの移行上皮癌についてお話します。
腫瘍の由来となる移行上皮という細胞は尿路系に存在するため、膀胱や尿道といった尿路に発生する腫瘍です。
この腫瘍は好発犬種としてシェルティやスコティッシュテリアが知られており、男の子より女の子での発生が多い腫瘍です。
残念ながら進行は非常に早く、根治が困難な腫瘍でもあります。
症状
血尿、頻尿(何度もトイレにいく)、尿がポタポタと漏れることがあるといった膀胱炎のような症状がみられること があります。膀胱炎を繰り返すと思っていたが、しっかりと調べたら腫瘍だったということが起こりえます。
また、腫瘍の発生する位置が『膀胱三角部』という尿管開口部(腎臓から膀胱への管が繋がる部分)や内尿道口(膀 胱から尿道に繋がる通り道)など排尿に関わる重要な部分であることが多いため、腫瘍の拡大や浸潤に伴い重篤な弊 害が起こります。
尿管開口部が塞がってしまうと腎臓から膀胱へ尿が到達できず、水腎症となって腎機能の低下、腎不全に陥ります。 内尿道口が塞がると膀胱から尿が排泄できず、やはり腎不全に陥ってしまいます。
いずれにしても産生した尿が体外に出せない状態であり、尿毒症などから短期間で命の危険が迫ってきます。
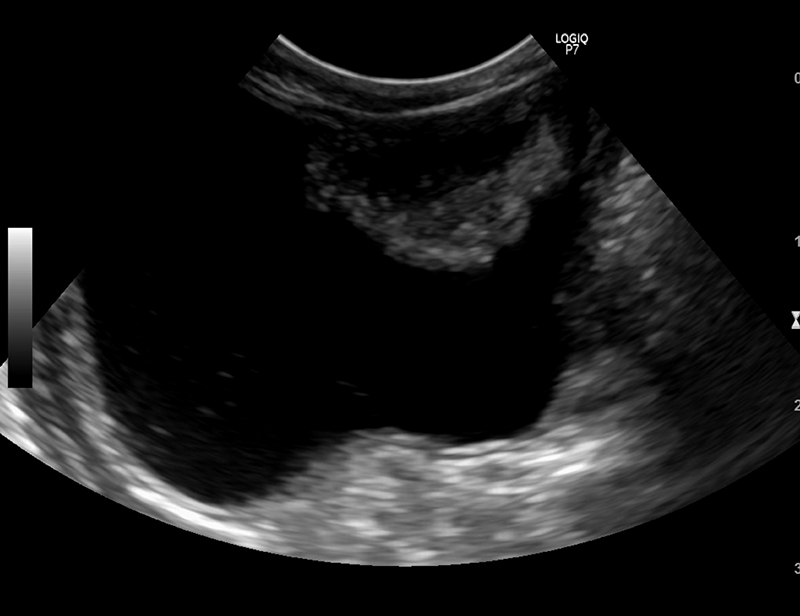
診断
診断は超音波検査が有効です。
膀胱の中に明確な腫瘤が発見できることが多く、腫瘤の発生している部位、膀胱壁や尿管・尿道への浸潤具合、さら
に腎臓や付近のリンパ節の評価も行います。
ただし、膀胱炎でも膀胱の粘膜が肥厚したり、移行上皮癌以外にも良性の炎症性ポリープなどが発生することもある
ため超音波検査だけで移行上皮癌の診断はできません。
腫瘍の診断を進めるためには細胞の確認が必要です。
尿検査で尿中に出ている腫瘍細胞を確認することもありますが、尿中に長時間浮遊していた細胞は判断が困難なこと
が多いため、カテーテルを入れて細胞を採取するほうが正確です。
こうして得た細胞を顕微鏡で確認しますが、最近では遺伝子検査も実用化されています。
それでも確定診断に至らないことはありますが、臨床症状、超音波などの画像検査、血液検査、細胞診と遺伝子検査などの結果を組み合わせることで診断を進めていきます。
いずれにしても疑わなければ診断は進まず、進行の早いこの病気は経過観察の間に急激に進行しかねません。
腫瘍の特定と共にステージング(病態の分類)を行います。
例えば膀胱腫瘍は以下のように分類されます。
| T(腫瘍の広がり) | |
|---|---|
| Tis | 非浸潤性癌 |
| T0 | 腫瘍は認められない |
| T1 | 粘膜表面のみに存在する 乳頭状の腫瘍 |
| T2 | 膀胱壁に浸潤した腫瘍 |
| T3 | 付近の臓器に浸潤した腫瘍 (前立腺・子宮など) |
| N(リンパ節への浸潤) | |
|---|---|
| N0 | 領域リンパ節に浸潤なし |
| N1 | 領域リンパ節に浸潤 |
| N2 | 領域および更に周囲のリンパ節に浸潤 |
| M(遠隔転移) | |
|---|---|
| M0 | なし |
| M1 | あり |
移行上皮癌の場合もこのように病態の分類を行い、それに合わせて治療の選択肢は変わります。
治療
この腫瘍も治療の目的を『根治』『緩和』『対症治療』のいずれにするかという点から考えなければいけません。
根治が困難な腫瘍ではありますが、早期の場合には根治を目指せることもあります。ただしその場合には最大限の手術と抗癌剤が必要となります。
外科治療
腫瘍の発生部位が膀胱の先端部分であれば、その部分の膀胱だけを切除して根治を目指せるかもしれません。
しかし多くの場合、腫瘍の発生部分は膀胱の先端部分ではないため、完全切除のためには膀胱の全摘出が適応となります。そして、この場合には新しい尿の通り道を作ることが必要です。
腎臓から尿を運ぶ尿管は、尿道を活かすことができれば尿道に繋ぎます。
尿道にも腫瘍が浸潤している場合には尿道も摘出せざるを得ないため、男の子の場合は包皮の中に(尿管包皮瘻)、女の子の場合は膣の粘膜に尿管を繋ぎます(尿管膣瘻)。
これらも難しい場合にはお腹の皮膚に尿管を繋ぎます(尿管腹壁瘻)。
いずれの場合も尿を貯める臓器である膀胱がなくなってしまうため、おしっこが常に漏れ出るようになります。
マナーバンドやおむつなどを利用し、定期的に毛刈りや洗浄を行うなど、慎重な管理が必要になります。
このように、膀胱全てを摘出するということは術後のご自宅での看護も含めて簡単なことではなく、適応については慎重に考える必要があります。
手術が終わったら元通り、というわけではなく、大変な自宅看護が生涯続くことにはなります。
ただ、手術をしなければごく短期間で亡くなってしまうこの腫瘍にとって、現状では手術という選択肢がより長い余
命や唯一根治を目指せる治療です。
手術も根治を目指す積極的な手術ばかりではありません。
腫瘍が大きくなり尿道を塞ぐ場合には、短期間で命に関わるため、緩和治療として、可能な限り腫瘍を取り除くような手術を行うこともありますし、塞がりかけた尿道にカテーテルやステントという人工物を入れ排尿だけでも維持するという方法もあります。
内科治療
内科治療はいわゆる抗癌剤を使用する治療ですが、抗癌剤以外にもNSAIDsという消炎鎮痛剤がこの腫瘍に効果的で腫瘍の増大をある程度遅らせられることがわかっています。
抗癌剤にも様々な報告があり、移行上皮癌にある程度の効果が認められる薬剤はいくつか存在します。
最近では分子標的薬という新しい治療薬が注目を集めており、現存の治療薬でもある程度の効果が期待できるほか、これからの新薬開発が待ち望まれる領域でもあります。
これらの薬単剤、または組み合わせによって、中には腫瘍が検査上消失する完全寛解を達成できることもあります。
ただし、残念ながらいずれの薬剤も根治を達成できるわけではありません。
いずれ腫瘍は再燃し、再度生命を脅かす事態に陥ってしまいます。
内科治療には対症療法も含まれますが、この腫瘍が関連する症状は様々です。
血尿、排尿や排便障害、腎機能の低下、嘔吐、食欲不振、痛み、転移が起こればその部位により更に様々な症状が見られます。こうした変化を慎重に見極め、適した対症治療を行うことが必要です。
まとめ
どの腫瘍にも言えることですが、発生を早期に捉えて治療を開始することがやはり一番良い方法です。
早期に発見ができれば治療の選択肢は広がります。
ただ、この腫瘍に関しては多くの場合、発見されたときにはある程度進行していることも否定できません。
病変のステージにより、目指せる治療目標は当然変わってきますし、
いずれの治療にもメリットとデメリットが存在 します。
そのため、どのような治療方針で腫瘍と戦っていくかは患者一人ひとりに応じて異なります。
根治を目指す場合には外科治療と内科治療を組み合わせて治療することになります。
手術をせず、緩和治療としての内科治療(抗癌剤や分子標的薬)のみを行うという選択肢もあります。
この場合にもどのような薬剤を利用するかはメリットやデメリットを含めてご説明します。
また、手術や抗癌剤治療は行わず対症療法のみ実施するということも一つの選択肢です。
万が一、こうした病気を患ってしまった場合でも、無症状の時間を可能な限り長く維持し、少しでも家族と過ごす時 間を持てるよう、専門医の立場からもご協力させて頂きたいと思っています。
お問い合わせ
当院は飼い主様とペットに親しまれ信頼されるホームドクターを目指しております。
些細なことでもお気軽にご相談ください。
TEL0573-62-1228
〒508-0004 岐阜県中津川市花戸町1-17
[診療科目]
一般内科、軟部外科、移行上皮癌、循環器科、呼吸器科、整形外科、消化器科、皮膚科、脳神経科、内分泌科、泌尿生殖器科、血液免疫疾患科、筋骨格系疾患、眼科、耳鼻科、歯科、救急診療科、その他
[診療時間]
9:00~12:00 / 16:00~18:00
[休診日]
月曜日、日曜日午後、祝日午後、第2・第4木曜日午後




