炎症性腸疾患(IBD)
- HOME
- 炎症性腸疾患(IBD)
炎症性腸疾患(Inframmatory Bowel Disease: IBD)は胃や腸の粘膜に炎症のみられる慢性消化器疾患です。
わんちゃんでもネコちゃんでも比較的多く発生がみられます。
正確な原因は特定されていませんが、遺伝的な素因や食物、免疫システムの異常などの関与が考えられています。
症状
慢性的な下痢や嘔吐、食欲不振、元気がない、お腹が張っている、便の回数が多い、など様々です。
悪化すると消化吸収不良により低蛋白血症を起こしたり、リンパ腫という腫瘍への転換も危惧される病気です。
診断
確定診断には病理検査が必要になるため、全身麻酔下での内視鏡による生検が必要です。
ただし、内視鏡での検査の前にその他の疾患の除外も重要なため、血液検査、X線検査や超音波検査といった麻酔が必要ではない検査から順に進めていきます。
同様の症状を引き起こすものには、食物アレルギー、感染性胃腸炎、膵炎、腫瘍、甲状腺疾患などの内分泌疾患、といった様々な病気が挙げられ、これらを除外したうえで内視鏡の検査に進みます。
粘膜面が凸凹にみえ、炎症を伴うため赤みがみられます
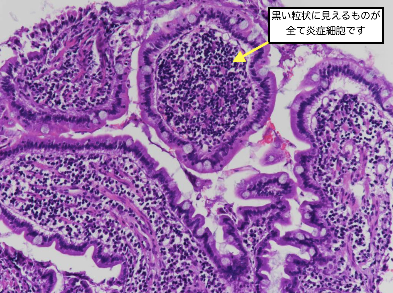
粘膜に炎症細胞浸潤がみられます
治療
抗生剤のほか、ステロイドや免疫抑制剤が必要となることがほとんどです。
食事療法を併用し、内服薬の減量が可能なこともあります。
ステロイドは初期には高用量が必要となることが多いのですが、症状の改善に合わせて減量していきます。
また、ステロイドの効果が不十分であったり、継続投与が困難な場合には免疫抑制剤を使用します。
その他にも補助的な治療を組み合わせ、症状の改善を図ります。
病気の完治は難しく生涯継続した治療が必要となることもある病気ですが、適確な診断と治療を行うことで症状が改善し、元気に寿命を全うできる可能性が十分にある病気です。
長く続く吐き気や下痢にお悩みの場合は是非一度ご相談下さい。
また、健康診断で早期に発見可能なこともありますので、年齢に合わせて健康診断もご検討下さい。
お問い合わせ
当院は飼い主様とペットに親しまれ信頼されるホームドクターを目指しております。
些細なことでもお気軽にご相談ください。
TEL0573-62-1228
〒508-0004 岐阜県中津川市花戸町1-17
[診療科目]
一般内科、軟部外科、慢性腎臓病、循環器科、呼吸器科、整形外科、消化器科、皮膚科、脳神経科、内分泌科、泌尿生殖器科、血液免疫疾患科、筋骨格系疾患、眼科、耳鼻科、歯科、救急診療科、その他
[診療時間]
9:00~12:00 / 16:00~18:00
[休診日]
月曜日、日曜日午後、祝日午後、第2・第4木曜日午後




